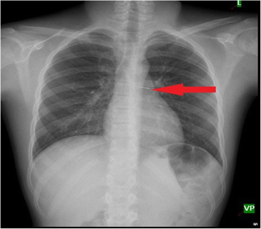
Fig. 6From: Clinical variables responsible for early and late diagnosis of foreign body aspiration in pediatrics age groupChest x-ray showing pin in the left main bronchusBack to article page