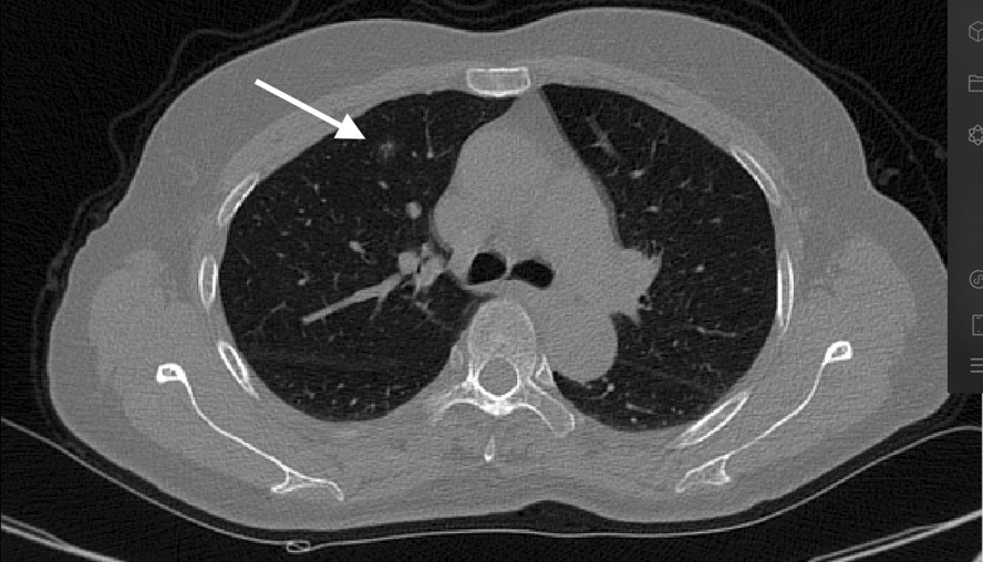
Fig. 3From: Application of three-dimensional reconstruction combined with dial positioning in small pulmonary nodules surgeryRotate the plane, so that the affected side is upwardBack to article page